
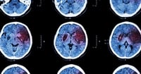
Los accidentes cerebrovasculares se afianzan como uno de los mayores desafíos para la salud pública a nivel global Las proyecciones oficiales anticipan un incremento…

Especialistas en psicología señalan que el bienestar emocional no depende solo de incorporar hábitos positivos sino sobre todo de eliminar conductas y formas…

En preparación para el Rodeo Rancho 2026 los responsables del evento se reunieron con los equipos participantes para coordinar actividades revisar logística y garantizar…

La música internacional toma protagonismo este domingo con la entrega 68 de los Premios Grammy 2026 una gala marcada por nuevas categorías y fuertes…

La presencia de atletas entrenadores y acompañantes fortaleció la demanda en establecimientos de perfil familiar La intensa agenda de competencias deportivas registrada…

Febrero de 2026 reúne Juegos Olímpicos de Invierno Super Bowl y torneos clave consolidándose como uno de los meses con mayor actividad y atención…

A cinco meses del Mundial 2026 especialistas advierten riesgos de seguridad fraudes y negocios ilícitos en México ante la llegada de miles de turistas…

Coahuila cerró 2025 con cerca de 6 millones de visitantes y una derrama estimada de 6 400 millones de pesos pero con una ocupación…

Ante la baja llegada de visitantes hoteleros del centro de Monclova enfrentan gastos fijos se reinventan y buscan proteger su patrimonio mientras esperan…

Roman Reigns y Liv Morgan triunfaron en las batallas reales de WWE obteniendo su pase a los eventos estelares de WrestleMania…

A pesar de los progresos médicos y de la amplia disponibilidad de información las enfermedades cardiovasculares continúan encabezando las causas de muerte a nivel…

El documental Melania tuvo un débil arranque en México al registrar apenas 427 espectadores en 82 pantallas durante sus primeros dos días en cartelera…

El control de la toxicidad gastrointestinal continúa siendo uno de los principales desafíos en la práctica clínica ya que hasta 90 de los pacientes…

Aunque la actividad física habitual es fundamental para reducir el riesgo de enfermedades del corazón los infartos ocurridos durante el entrenamiento aunque poco comunes—…

Ibai Llanos lanzó un video viral junto a Fuerza Regida en TikTok lo que los usuarios interpretan como una posible pista de la Velada…

Un enfrentamiento entre fuerzas de seguridad y criminales en el sur de Zacatecas dejó un agresor muerto dos mujeres heridas bloqueos carreteros…

Una explosión de pirotecnia durante un sepelio en Ciudad Victoria dejó diez personas lesionadas tres de ellas graves lo que movilizó a cuerpos…

Tras la publicación en redes sociales de un supuesto baile del recuerdo el delegado del INAH Francisco Aguilar Moreno señaló…

La baja actividad económica en Monclova mantiene al sector hotelero operando con márgenes limitados obligándolo a competir con tarifas por debajo de otras ciudades…

Deporte arte y participación ciudadana se unirán en una serie de actividades organizadas por SIMAS para celebrar el Día Mundial del Agua promoviendo…